Saltar menú de navegación Teclas de acceso rápido
Policiales Domingo 8 de Septiembre de 2024

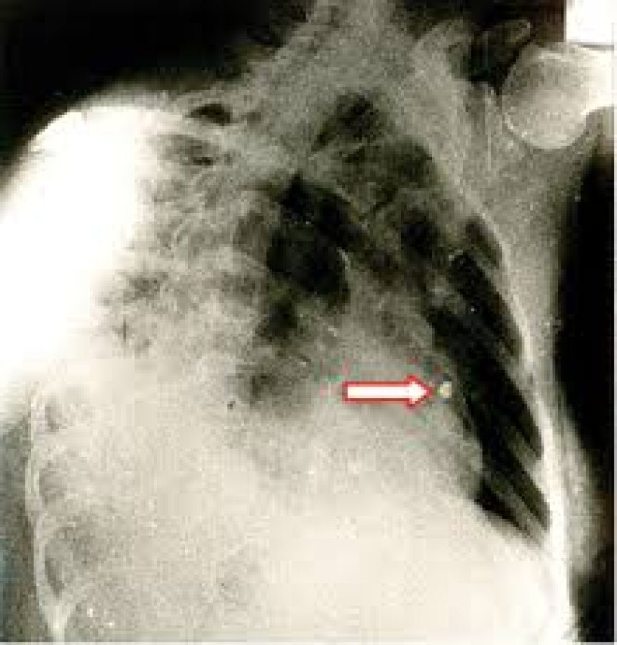
Muerto con un balazo en el pecho

Tenía 27 años y transitaba la vía pública, fue interceptado y golpeado salvajemente, y finalmente resultó muerto.

Agrandar imagen
Crédito: ARCHIVO

Tenía 27 años de edad, se llamaba Emilio Emanuel Irala Castillo, y fue asesinado a balazos en la vía pública, posterior a ser agredido físicamente por varios malvivientes, en un trágico episodio ocurrido en el Oeste del conurbano bonaerense.

En tanto, la Policía buscaba a los agresores, que protagonizaron el crimen en cercanía de un arroyo, en la intersección de Las Calas y Los Girasoles.

Los peritos de la Policía Científica, certificaron que el cuerpo presentaba como mínimo, un certero impacto de bala en el tórax.

Por otra parte, allegados al muerto comentaron que Irala Castillo, mantenía viejos conflictos con ciertos pobladores del vecindario, por lo que se estimaba que por allí podría direccionarse la causa del homicidio.

Seguí a Diario La Opinión de Rafaela en google newa
Comentarios

Te puede interesar

Teclas de acceso